90歳台の超高齢女性患者さん。過活動膀胱始め、複数の既往歴を抱えており、当院に通院されること7年目の定期外来受診時に行った尿路エコーにて、半年前に施行された際には認められていなかった右水腎症が発覚しました。右背部痛や発熱等はないとの事。

【今回発覚した右水腎症】

【半年前には右水腎症は認められていなかった】

【今回の膀胱エコー:膀胱壁三角部右側に粘膜肥厚像を認めている】
尿路の通過障害がある事で生じる水腎症は、腎盂内圧が高まる事で発症する病的な所見です。尿路の通過障害を生じる疾患として代表的なものは、良性疾患では尿管結石や尿管狭窄など、悪性疾患では尿管癌や他臓器の癌などによる直接浸潤や尿管外からの圧排などがあります。
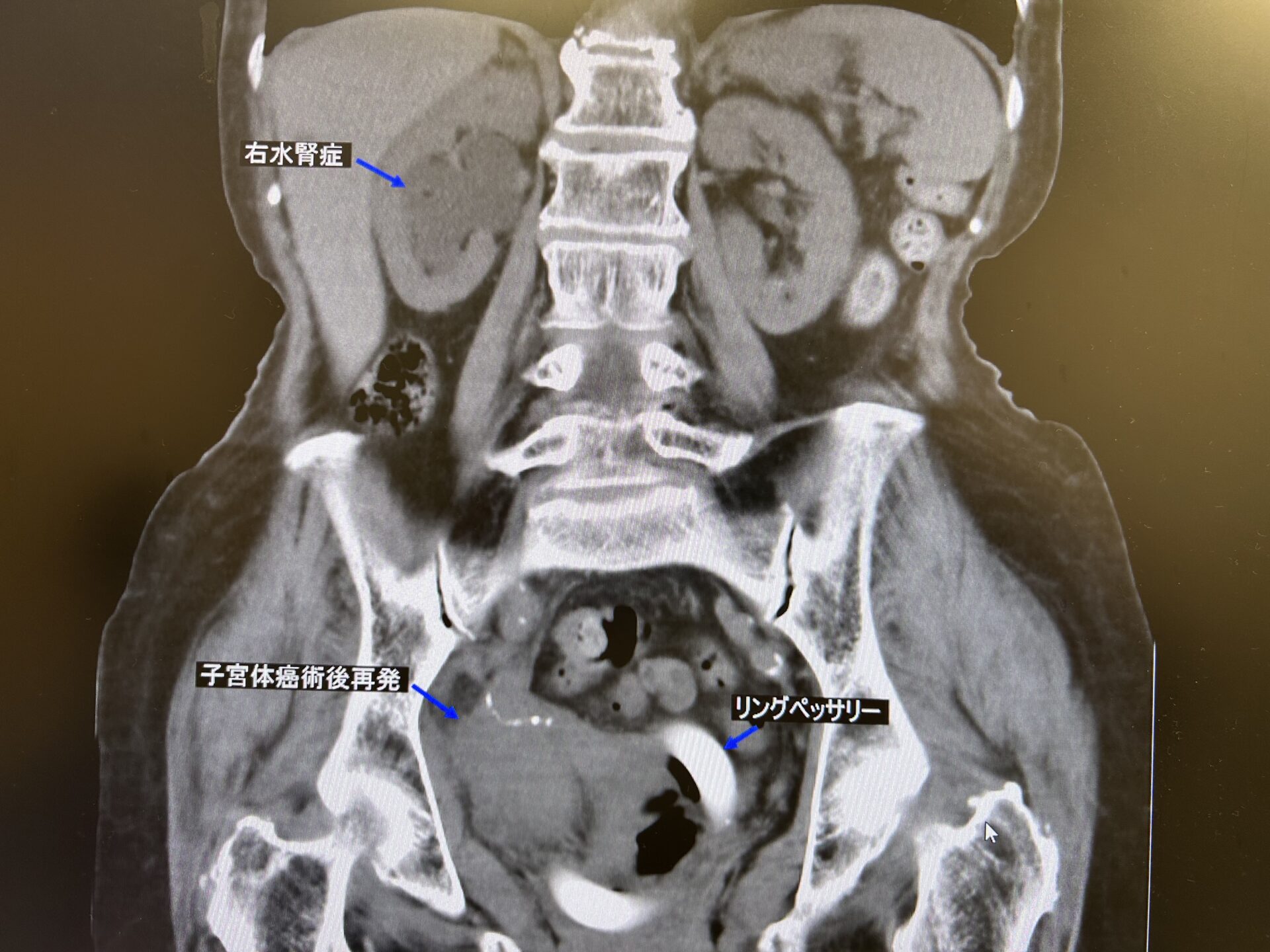
エコーでは実際の閉塞機転までは尿管を追う事が出来ないため、後日CT検査を行うこととしました。すると、CT上では骨盤内右側に手術痕とその周囲を取り巻くように腫瘤形成をなしており、また、膀胱への浸潤も来しているようにも見えます。ここが、右下部尿管を圧排もしくは浸潤して閉塞機転となっていると考えられました。

【CT冠状断像:子宮体癌術後局所再発と考えられる腫瘤形成および右水腎症】
念のために尿路由来ではない事を証明するために膀胱鏡と尿細胞診も検査することとしました。結果は尿細胞診classⅡ(陰性)、膀胱鏡所見でも右尿管口は確認出来るも膀胱粘膜が浮腫状に肥厚しており、一部膀胱壁外から直接浸潤していると考えられる腫瘍性病変も認められました。明らかに膀胱癌などの尿路上皮癌に特徴的な乳頭状腫瘍とは異なる内視鏡所見でした。また、患者さんは約9年前に子宮体癌の広汎子宮全摘術を行っており、CT上認められた手術痕および周囲の腫瘤形成から子宮体癌の局所再発による尿管浸潤または圧排による右水腎症と診断し、かかりつけ婦人科に紹介させて頂きました。

【膀胱鏡所見:膀胱右側壁の肥厚像および膀胱壁外からの腫瘍浸潤】
患者さんおよびご家族曰く、現在も半年ごとに術後の直腸脱に対し、膣内に挿入しているリングペッサリーを交換し婦人科通院中で、その度にレントゲン検査も行っているとのこと。ん??なぜ、術後ずっとfollowされているのに、再発のことが把握されていないのか?と疑問に思いましたが、子宮全摘後の病理結果を再度確認したところ、病変の子宮壁深達度がpT1b(筋層1/2以上の浸潤)、ly1(リンパ管侵襲あり)、切除断端(-)と書かれてありましたので病理学的には根治的に切除し得た、という解釈になることから術後のCT followはそういう理由で行っていなかったのかもしれません。しかも高齢ですし、再発したとしても後療法もどこまでやるのか?と議論の余地があるためだったんでしょう。ちなみにレントゲンは単純撮影でリングペッサリーの位置確認で行っていたものと考えます。
結局、紹介先の婦人科からはこちらからの確固たる検査結果と上述した見解を紹介状に記載していながらも、返信の内容としては”まず尿管癌による水腎症を第一に考えるため、当院泌尿器科ともコンサルしながら、子宮体癌の再発についても精査していきます”とのことでした。なかなかすんなり一開業医の見解を受け入れてもらえなかったのは、定期通院していながら、自分たちが把握する前にたかが開業医に先に見つけられてしまった事実を認めたくない、という事だったんでしょうか?。
結局は色々と精査していく中で、ご家族とご本人にも子宮体癌再発による水腎症であることが告げられ、積極的な加療は行わない方針となり子宮体癌再発の発覚から約半年後に静かに息を引き取られました。
今回思ったのは、術後5年経ったとしても、やはり細く長く癌という疾病に対しては定期followを続けるべきであるという事です。私も、昭和大学(現昭和医科大学)藤が丘病院に勤務中に、術後5年再発なく経過した膀胱癌患者さんが通院終了となり、その後術後13年目にして肉眼的血尿を主訴に来院された際には、すでに局所浸潤癌(筋層浸潤)をきたした大きな膀胱癌が再発しており、結局膀胱全摘+回腸導管造設に至った症例を経験しております。高齢者だから再発しても何も加療ができないとしても、定期follow(1年に1回でも)として画像診断を行っていれば、慌てることなくご家族もご本人も自然な受け入れができたのでないかと考察させて頂きました。
後日、娘さんからは”長い間お世話になりました。先生とお話しすることが楽しみで、いつも母は通院させていただいておりました。ありがとうございました。”とわざわざクリニックまでお越しになり御礼を述べて頂きました。ほんとお母さん思いのやさしいすてきな娘さんでした。
私も、世間話だけでなく、医師として診るべきところはちゃんと診ていてよかったあ、とちょっと安心した症例でした。